Kelly Slater, 53 anos, revela sofrer de escoliose: “A curvatura que suportei durante tantos anos é impactante”
Lenda do surf mundial partilhou imagens da sua coluna e falou sobre os efeitos de mais de 30 anos de carreira profissional.
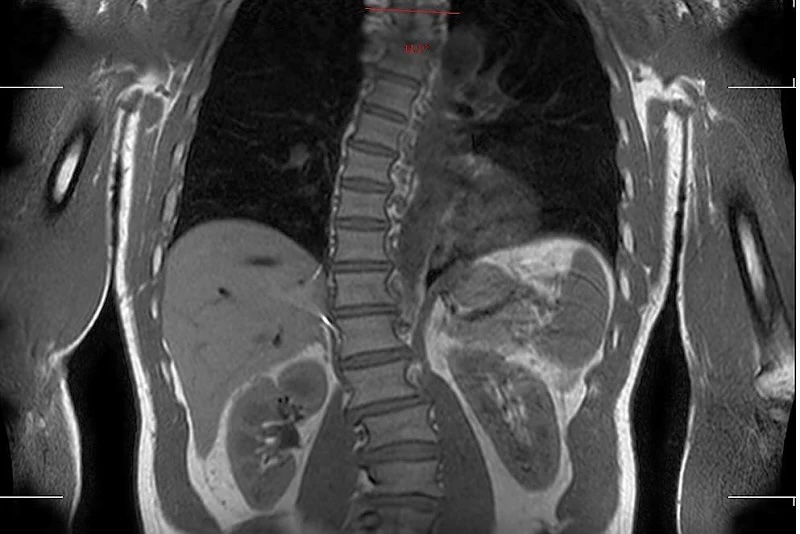
Aos 53 anos, Kelly Slater continua a ser uma das figuras mais influentes e inspiradoras do surf mundial. Com uma carreira que se estende por mais de três décadas — e que inclui 11 títulos mundiais — o norte-americano surpreendeu recentemente ao revelar, através das redes sociais, que sofre de uma escoliose severa, visível numa ressonância magnética que partilhou com os seus seguidores.
“Mostrar a minha coluna faz-me sentir exposto, mas acredito que é importante que as pessoas saibam que todos lidamos com dores físicas e que podemos encontrar formas de minimizar os efeitos ou até revertê-los.”
Slater realizou o exame numa clínica especializada em varrimentos corporais completos, a Prenuvo, num procedimento de alto custo (cerca de 2.500 dólares), que lhe foi oferecido gratuitamente. Os resultados revelaram alterações moderadas e alguns achados menores, que o campeão admite que irá monitorizar de perto.

Via Slater Instargram
Apesar da surpresa causada pela imagem da sua coluna, a revelação de Slater reforça o lado humano e vulnerável do atleta que, apesar de ter sido praticamente imbatível durante anos, não ficou imune às consequências físicas de décadas de surf de alto nível.
Uma reflexão sobre a longevidade no desporto:
Slater venceu o seu primeiro título mundial em 1992, aos 20 anos, e o último em 2011, aos 39. A sua longevidade no circuito profissional é praticamente inédita no desporto de alta competição.
Esta revelação reacende também o debate sobre os riscos e benefícios dos exames de corpo inteiro, um tema controverso entre especialistas em saúde. Enquanto alguns médicos consideram o procedimento excessivo em pessoas assintomáticas, outros apontam o seu potencial para detectar problemas de saúde ocultos e, em alguns casos, salvar vidas.
Relação entre surf e escoliose:
*A prática do surf exige movimentos repetitivos, posturas prolongadas em hiperextensão e rotações do tronco, que podem causar dores lombares e potencialmente favorecer desequilíbrios musculares ou alterações na coluna, especialmente após muitos anos de prática. No entanto, a escoliose, que é uma curvatura anormal da coluna, geralmente tem causas idiopáticas (desconhecidas) e não é especificamente causada pelo surf.





